Política de uso de cookies

martes, 27 de junio de 2023

FESTIVIDAD DE LA VIRGEN DEL PERPETUO SOCORRO

 NUESTRA SEÑORA DEL PERPETUO SOCORRO


Hoy día 27 de junio, la Iglesia católica celebra la festividad de Nuestra Señora del Perpetuo Socorro. patrona de los médicos españoles y del Cuerpo Militar de Sanidad de  España.



Nuestra Señora del Perpetuo Socorro. Pintura de Luis San José



Reina de los ángeles

Reina de los patriarcas

Reina de los profetas

Reina de los apóstoles

Reina de los mártires

Reina de los confesores

Reina de las vírgenes

Reina de todos los santos

Reina concebida sin pecado original

Reina elevada a los cielos

Reina del santísimo rosario

Reina de la familia

Reina y hermosura del Carmelo

Reina y estrella de los mares

Reina de la paz

Ruega a Dios por nosotros


lunes, 26 de junio de 2023

RADUIOLOGÍA DE TÓRAX

SIGNO DE LA SILUETA


LOCALIZACIÓN DE LESIONES 


Una lesión que se superpone pero que no borra la aorta torácica ascendente estará en situación posterior, porque la aorta ascendente es una estructura anterior.

El botón aortico y la aorta torácica descendente son estructuras posteriores y para borrar estas estructuras el proceso patológico deberá tener una localización posterior. 

Pero, si la afección se superpone y no borra el botón aortico será de situación anterior a esta estructura. 



En esta radiografía podemos observar que se encuentra intacto el borde de la aorta ascendente al que se superpone una neumonia del segmento superior (6) del lóbulo inferior derecho. Felson et al

.


En esta radiografía observamos que el botón aortico está intacto en una afección del segmento superior del lóbulo inferior izquierdo (6). Felson et al


REFERENCIAS

FELSON, B. WEINSTEIN, A, SPITZ, H. Principios de Radiología Torácica.

Editorial Científico-Médica. Barcelona, 1974 



lunes, 19 de junio de 2023

RADIOLOGÍA DE TÓRAX

 SIGNO DE LA SILUETA


LOCALIZACIÓN DE LESIONES


El lóbulo inferior izquierdo (LII) y el lóbulo inferior derecho (LID) son estructuras posteriores y no se encuentran en contacto anatómico con los bordes del corazón que son estructuras anteriores. 

Los procesos patológicos de dichos lóbulos no borrarán los bordes cardiacos. 

De este modo; si una afección de la región inferior del pulmón izquierdo borra el borde cardiaco, se encontrará siruada en la lingula, pero si se superpone, sin borrarlo, estará situada en el lóbulo inferior izquierdo (LII)

Un proceso patológico en el segmento superior (6) de ambós lóbulos, inferior derecho o inferior izquierdo, se van a superponer a la porción media del contorno cardiaco, pero no borrarán estos bordes porque los segmentos superiores son estructuras posteriores y los bordes cardiacos son estructuras anteriores.




Colapso del lóbulo inferior derecho  y el borde cardiaco derecho no se encuentra borrado.
Felson et al




Nemonía del lóbulo inferior izquierdo y el borde cardiaco izquierdo no se encuentra borrado.
Felson et al


REFERENCIAS

FELSON, B. WEINSTEIN, A, SPITZ, H. Principios de Radiología Torácica.

Editorial Científico-Médica. Barcelona, 1974 




lunes, 12 de junio de 2023

RADIOLOGÍA DE TÓRAX

 SIGNO DE LA SILUETA


LOCALIZACIÓN DE LESIONES


La língula es el homólogo izquierdo del lóbulo medio derecho y se encuentra en contacto anatómico con el borde cardiaco izquierdo. Si el borde cardiaco izquierdo es de localización anterior, la língula será también anterior.

La porción pulmonar en contacto con el borde cardiaco izquierdo es la língula y una afección que se localiza en este lóbulo, borrará dicho borde.

El segmento anterior del lóbulo superior izquiedo (LSI) (2) está en contacto con la porción superior del borde cardiaco izquierdo, pero la mayor parte del borde cardiaco izquierdo está en contacto con la língula.

El segmento apical del lóbulo superior izquierdo (LSI) (1-3) está en contacto anatómico con el botón aortico. 

Una neumonia, un tumor, o cualquier otra lesión de densidad agua que borre el botón aortico, se encontrará situada en el segmento apical-posterior del lóbulo superior izquierdo (LSI) (1-3). Tanto el botón aortico como dicho segmento son estructuras posteriores.


Desaparición del borde cardiaco izquierdo por una neumonía de la língula y nemonia del segmento apical-posterior del lóbulo superior izquiedo con borramiento del botón aórtico. Felson et al 

Desaparición del botón aortico por un carcinoma del segmeno apical del lóbulo superior izquierdo. 
Felson et al
Borramiento del borde cardiaco izquierdo por un neumonía de la língula (4 y 5).
Felson et al

REFERENCIAS

FELSON, B. WEINSTEIN, A, SPITZ, H. Principios de Radiología Torácica.

Editorial Científico-Médica. Barcelona, 1974 


lunes, 5 de junio de 2023

RADIOLOGÍA DE TÓRAX

 SIGNO DE LA SILUETA


LOCALIZACIÓN DE LESIONES

El lóbulo medio derecho está situado en contacto anatómico con el borde cardiaco derecho, pero no su porción más superior. El borde cardiaco derecho es una estructura anterior y por lo tanto, el lóbulo medio derecho o LMD será también una estructura anterior.

Por eso decimos: El lóbulo pulmonar en contacto con la mayor parte del borde cardiaco derecho es el lóbulo medio derecho (LMD).

Si el borde cardiaco derecho se encuentra borrado por una lesión pulmonar, el signo de la silueta nos muestra que la lesión es anterior y que se encuentra afectado el lóbulo medio derecho (LMD).

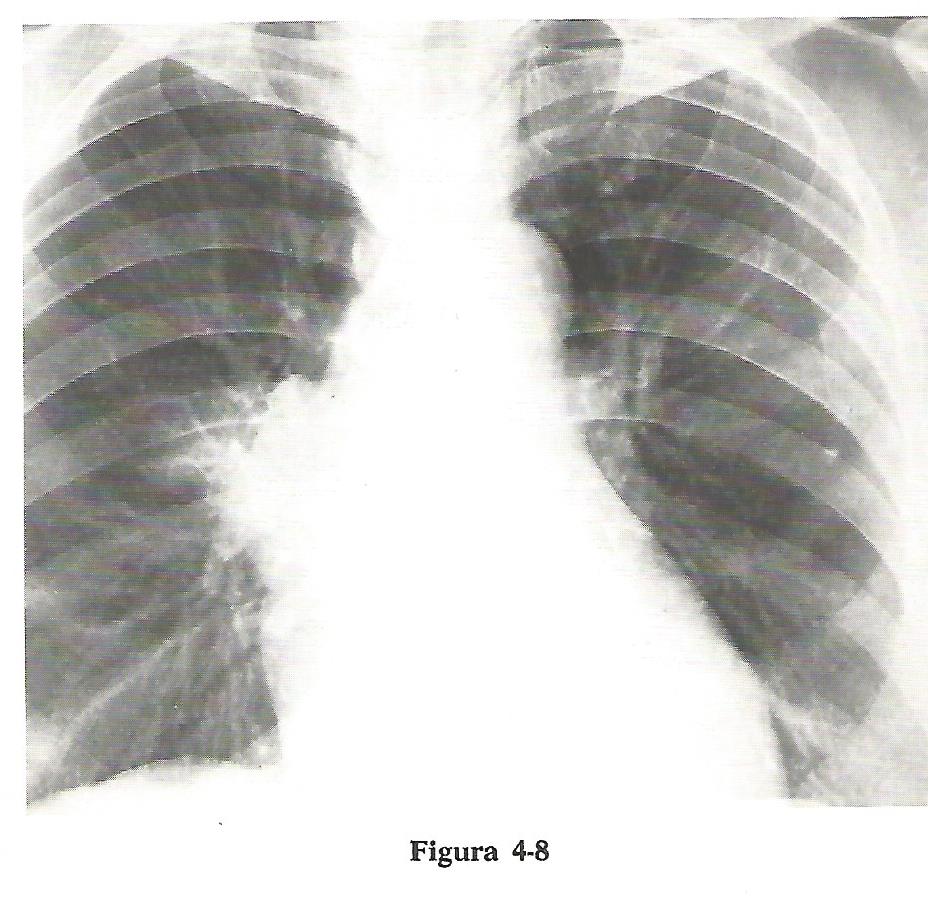
La porción más alta del borde cardiaco derecho y la aorta ascendente están en contacto anatómico con el segmento anterior del lóbulo superior derecho o LSD (2). Si el borde cardiaco derecho y la aorta ascendente son anteriores, el segmento anterior del lóbulo superior derecho (LSD) (2) es anterior.

De esta forma: La aorta ascendente y la porción superior del borde cardiaco derecho están en contacto con el segmento anterior del lóbulo superior derecho (LSD) (2). 

Un proceso patológico en el segmento anterior del lóbulo superior derecho puede borrar tanto la aorta ascendente como el borde cardiaco derecho o ambos.


La figura 4-7 nos muestra la desaparición del borde cardiaco derecho por una neumonia del lóbulo medio derecho (LMD). Felson et al




La figura 4-8 nos muestra la desaparición del borde cardiaco derecho y de la aorta ascendente por una neumonía del segmento anterior del lóbulo superior derecho (LSD). Felson et al


REFERENCIAS

FELSON, B. WEINSTEIN, A, SPITZ, H. Principios de Radiología Torácica.

Editorial Científico-Médica. Barcelona, 1974 

































l